1 2 3 4
image carousel by WOWSlider.com v7.2
 
 
 

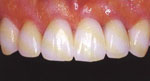
E Max:

The second generation of the revolutionary system in aesthetic dentistry, IPS Empress 2, now offers the possibility to fabricate an all- ceramic bridge, and the E Max ® layering ceramic permit the fabrication of all ceramic crowns and bridges that demonstrate properties similar to those of natural teeth.   

 
 
 
Copyrights 2015, All Rights Reserved to Dr. Hesham Rashed
Powered By: Dot Technology
hit counter